• Gündem
  • Alışveriş
  • Finans
  • YaCevap
  • YaÖzet
  • Seyahat
  • Video
  • Görsel
  • Ana Sayfa
  • İnsanlar
  • Sinema
  • Coğrafya
  • Kurum
  • BilimBilim
  • Aygıt
  • Müzik
  • Yazılım
  • Canlılar
  • İlaç
  • Olay
  • Gida
  • Otomobil
  • Kimyasal Bileşim
  • Diğerleri
  • Buradasın
    • Yawiki ›
    • Bilim ›

    Hematoksilen-Eozin Boyası

    Boyama Tekniği
    slideplayer.biz.tr sitesinden görsel
    slideplayer.biz.tr sitesinden görsel
    prezi.com sitesinden görsel
    biyosistem.com.tr sitesinden görsel
    biyosistem.com.tr sitesinden görsel
    dishcuss.com sitesinden görsel
    mungfali.com sitesinden görsel

    Yazeka

    Arama sonuçlarına dayanarak oluşturuldu

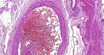
    Hematoksilen-Eozin Boyası, histoloji ve patoloji laboratuvarlarında doku preparatlarını boyamak için kullanılan rutin bir yöntemdir. Bu teknikte, hematoksilen çekirdeği mavi-siyah renkte boyarken, eozin sitoplazma ve bağ dokusunu pembe-turuncu tonlarında renklendirir.

    Deparafinizasyon işlemiyle doku kesitlerinden parafin uzaklaştırılır ve su geçirgenliği sağlanır. Ardından hematoksilen ile çekirdek boyanır, ardından asit alkol ve amonyaklı su ile diferansiye edilir. Son aşamada eozin uygulanarak sitoplazmik yapılar vurgulanır.

    Bu yöntem, doku elemanlarının mikroskobik incelemesini kolaylaştırır ve rutin histopatolojik analizlerde yaygın olarak tercih edilir.

    Daha fazla
    prezi.com
    cdn.istanbul.edu.tr
    eksisozluk.com
    avys.omu.edu.tr

    İlgili gündem

    Mide ve bağırsak kanserlerinde erken teşhisin önemini hatırlatan Genel Cerrahi Uzmanı Prof. Dr. Yavuz Selim Sarı, kromoendoskopi (boyama tekniği) ile kanserli hücrelerin yakalanma oranının büyük ölçüde arttığını belirtti.
    batmancagdas.com22 Ağustos
    Yanıt, yapay zeka tarafından internetteki kaynaklara dayanarak oluşturulmuştur. Hatalar içerebilir.
    Yazeka hakkındatr.wikipedia.org
    • © 2025 Yandex
    • Gizlilik politikası
    • Kullanıcı sözleşmesi
    • Hata bildir
    • Şirket hakkında
    {"8px70":{"state":{"logoProps":{"url":"https://yandex.com.tr"},"formProps":{"action":"https://yandex.com.tr/search","searchLabel":"Bul"},"services":{"activeItemId":"yawiki","items":[{"url":"https://yandex.com.tr/gundem/","title":"Gündem","id":"agenda"},{"url":"https://yandex.com.tr/shopping/","title":"Alışveriş","id":"shopping"},{"url":"https://yandex.com.tr/finance/","title":"Finans","id":"finance"},{"url":"https://yandex.com.tr/yacevap/","title":"YaCevap","id":"answers"},{"url":"https://yandex.com.tr/yaozet/","title":"YaÖzet","id":"summary"},{"url":"https://yandex.com.tr/travel/","title":"Seyahat","id":"travel"},{"url":"https://yandex.com.tr/video/search?text=popüler+videolar","title":"Video","id":"video"},{"url":"https://yandex.com.tr/gorsel/","title":"Görsel","id":"images"}]},"userProps":{"loggedIn":false,"ariaLabel":"Menü","plus":false,"birthdayHat":false,"child":false,"dialogProps":{"host":"yandex.com.tr","lang":"tr","project":"yawiki","queryParams":{"exp_flags":"skin","preset":"oceania","utm_source":"portal-yawiki"},"retpath":"https%3A%2F%2Fyandex.com.tr%2Fyawiki%2Fscience%2Fhematoksilen-eozin_boyas%25C4%25B1%2F0oCgpydXcxNjM2NjkxGASwA3NE%3Ftext%3Dyawiki%26ncrnd%3D16118","tld":"com.tr","platform":"desktop"},"className":"PortalHeader-User"},"suggestProps":{"selectors":{"form":".HeaderForm","input":".HeaderForm-Input","submit":".HeaderForm-Submit","clear":".HeaderForm-Clear","layout":".HeaderForm-InputWrapper"},"suggestUrl":"https://yandex.com.tr/suggest/suggest-ya.cgi?show_experiment=222&show_experiment=224","deleteUrl":"https://yandex.com.tr/suggest-delete-text?srv=web&text_to_delete=","suggestPlaceholder":"Yapay zeka ile bul","platform":"desktop","hideKeyboardOnScroll":false,"additionalFormClasses":["mini-suggest_theme_tile","mini-suggest_overlay_tile","mini-suggest_expanding_yes","mini-suggest_prevent-empty_yes","mini-suggest_type-icon_yes","mini-suggest_personal_yes","mini-suggest_type-icon_yes","mini-suggest_rich_yes","mini-suggest_overlay_dark","mini-suggest_large_yes","mini-suggest_copy-fact_yes","mini-suggest_clipboard_yes","mini-suggest_turboapp_yes","mini-suggest_expanding_yes","mini-suggest_affix_yes","mini-suggest_carousel_yes","mini-suggest_traffic_yes","mini-suggest_re-request_yes","mini-suggest_source_yes","mini-suggest_favicon_yes","mini-suggest_more","mini-suggest_long-fact_yes","mini-suggest_hide-keyboard_yes","mini-suggest_clear-on-submit_yes","mini-suggest_focus-on-change_yes","mini-suggest_short-fact_yes","mini-suggest_app_yes","mini-suggest_grouping_yes","mini-suggest_entity-suggest_yes","mini-suggest_redesigned-navs_yes","mini-suggest_title-multiline_yes","mini-suggest_type-icon-wrapped_yes","mini-suggest_fulltext-highlight_yes","mini-suggest_fulltext-insert_yes","mini-suggest_lines_multi"],"counter":{"service":"yawiki_com_tr_desktop","url":"//yandex.ru/clck/jclck","timeout":300,"params":{"dtype":"stred","pid":"0","cid":"2873"}},"noSubmit":false,"formAction":"https://yandex.com.tr/search","tld":"com.tr","suggestParams":{"srv":"serp_com_tr_desktop","wiz":"TrWth","yu":"7578790471763048130","lr":20815,"uil":"tr","fact":1,"v":4,"use_verified":1,"safeclick":1,"skip_clickdaemon_host":1,"rich_nav":1,"verified_nav":1,"rich_phone":1,"use_favicon":1,"nav_favicon":1,"mt_wizard":1,"history":1,"nav_text":1,"maybe_ads":1,"icon":1,"hl":1,"n":10,"portal":1,"platform":"desktop","mob":0,"extend_fw":1,"suggest_entity_desktop":"1","entity_enrichment":"1","entity_max_count":"5"},"disableWebSuggest":false},"context":{"query":"","reqid":"1763048161498760-15100224878396624649-balancer-l7leveler-kubr-yp-vla-147-BAL","lr":"20815","aliceDeeplink":"{\"text\":\"yawiki\"}"},"baobab":{"parentNode":{"context":{"genInfo":{"prefix":"8px7w01-0-1"},"ui":"desktop","service":"yawiki","fast":{"name":"entitysearch","subtype":"header"}}}}},"type":"entitysearch","subtype":"header"},"8px71":{"state":{"links":[{"id":"main","title":"Ana Sayfa","url":"https://yandex.com.tr/yawiki","target":"_self"},{"id":"people","title":"İnsanlar","url":"https://yandex.com.tr/yawiki/people","target":"_self"},{"id":"film","title":"Sinema","url":"https://yandex.com.tr/yawiki/film","target":"_self"},{"id":"geography","title":"Coğrafya","url":"https://yandex.com.tr/yawiki/geography","target":"_self"},{"id":"organization","title":"Kurum","url":"https://yandex.com.tr/yawiki/organization","target":"_self"},{"id":"science","title":"Bilim","url":"https://yandex.com.tr/yawiki/science","target":"_self"},{"id":"device","title":"Aygıt","url":"https://yandex.com.tr/yawiki/device","target":"_self"},{"id":"music","title":"Müzik","url":"https://yandex.com.tr/yawiki/music","target":"_self"},{"id":"software","title":"Yazılım","url":"https://yandex.com.tr/yawiki/software","target":"_self"},{"id":"organism","title":"Canlılar","url":"https://yandex.com.tr/yawiki/organism","target":"_self"},{"id":"medicine","title":"İlaç","url":"https://yandex.com.tr/yawiki/medicine","target":"_self"},{"id":"event","title":"Olay","url":"https://yandex.com.tr/yawiki/event","target":"_self"},{"id":"food","title":"Gida","url":"https://yandex.com.tr/yawiki/food","target":"_self"},{"id":"auto","title":"Otomobil","url":"https://yandex.com.tr/yawiki/auto","target":"_self"},{"id":"chemical_compound","title":"Kimyasal Bileşim","url":"https://yandex.com.tr/yawiki/chemical_compound","target":"_self"},{"id":"others","title":"Diğerleri","url":"https://yandex.com.tr/yawiki/others","target":"_self"}],"activeLinkId":"science","title":"Kategoriler","baobab":{"parentNode":{"context":{"genInfo":{"prefix":"8px7w02-0-1"},"ui":"desktop","service":"yawiki","fast":{"name":"entitysearch","subtype":"header-categories"}}}}},"type":"entitysearch","subtype":"header-categories"},"8px72":{"state":{"className":"YawikiEntity-Breadcrumbs","items":[{"name":"Yawiki","url":"//yandex.com.tr/yawiki"},{"name":"Bilim","url":"//yandex.com.tr/yawiki/science"}],"baobab":{"parentNode":{"context":{"genInfo":{"prefix":"8px7w03-0-1"},"ui":"desktop","service":"yawiki","fast":{"name":"entitysearch","subtype":"object"}}}}},"type":"entitysearch","subtype":"object"},"8px73":{"state":{"extralinksItems":[{"variant":"reportFeedback","reportFeedback":{"feature":"YaWiki","title":"Bu yanıtta yanlış olan ne?","checkBoxLabels":[{"value":"Görüntüleme hataları"},{"value":"Maddi hatalar var"},{"value":"Bilgi güncel değil"},{"value":"Yanıtta kullanılan kaynaklar güvenilir değil"},{"value":"Diğerleri"}]}}],"baobab":{"parentNode":{"context":{"genInfo":{"prefix":"8px7w03-0-2"},"ui":"desktop","service":"yawiki","fast":{"name":"entitysearch","subtype":"object"}}}}},"type":"entitysearch","subtype":"object"},"8px74":{"state":{"wideGallery":[{"image":"//avatars.mds.yandex.net/get-entity_search/9710637/1003805691/SUx182","origWidth":427,"origHeight":320,"searchUrl":"https://yandex.com.tr/gorsel/search?rpt=simage&noreask=1&source=qa&text=Hematoksilen-Eozin+Boyas%C4%B1+Boyama+Tekni%C4%9Fi&img_url=https%3A//slideplayer.biz.tr/slide/2993983/11/images/14/Boyama%2B%28Preparasyon%29%2BHematoksilen-eosin.jpg&lr=983&json_dump=searchdata.numdocs&json_dump=searchdata.images&nomisspell=1&srcskip=IMAGESQUICK&json_dump=reqparam.tld&relev=new_family_filter_disable=1&nocache=da&no-tests=da&pron=sm_mind&pron=smm_1.0","alt":"slideplayer.biz.tr sitesinden görsel","largeImage":"//avatars.mds.yandex.net/get-entity_search/9710637/1003805691/S600xU_2x","srcUrl":"https://slideplayer.biz.tr/slide/2993983a","srcHost":"slideplayer.biz.tr"},{"image":"//avatars.mds.yandex.net/get-entity_search/5508932/945956248/SUx182","origWidth":480,"origHeight":270,"searchUrl":"https://yandex.com.tr/gorsel/search?rpt=simage&noreask=1&source=qa&text=Hematoksilen-Eozin+Boyas%C4%B1+Boyama+Tekni%C4%9Fi&img_url=https%3A//0901.static.prezi.com/preview/v2/avmuorqiwu4lq65zqzun2u7bwx6jc3sachvcdoaizecfr3dnitcq_3_0.png&lr=983&json_dump=searchdata.numdocs&json_dump=searchdata.images&nomisspell=1&srcskip=IMAGESQUICK&json_dump=reqparam.tld&relev=new_family_filter_disable=1&nocache=da&no-tests=da&pron=sm_mind&pron=smm_1.0","alt":"prezi.com sitesinden görsel","largeImage":"//avatars.mds.yandex.net/get-entity_search/5508932/945956248/S600xU_2x","srcUrl":"https://prezi.com/b5ak5dhf813q/hematoksilen-eozin-boyama-cihaznn-uretilmesi/?fallback=1","srcHost":"prezi.com"},{"image":"//avatars.mds.yandex.net/get-entity_search/1978677/1135831776/SUx182","origWidth":480,"origHeight":257,"searchUrl":"https://yandex.com.tr/gorsel/search?rpt=simage&noreask=1&source=qa&text=Hematoksilen-Eozin+Boyas%C4%B1+Boyama+Tekni%C4%9Fi&img_url=https%3A//www.biyosistem.com.tr/wp-content/uploads/2019/01/Safra-Kesesi-4-1030x551.jpg&lr=983&json_dump=searchdata.numdocs&json_dump=searchdata.images&nomisspell=1&srcskip=IMAGESQUICK&json_dump=reqparam.tld&relev=new_family_filter_disable=1&nocache=da&no-tests=da&pron=sm_mind&pron=smm_1.0","alt":"biyosistem.com.tr sitesinden görsel","largeImage":"//avatars.mds.yandex.net/get-entity_search/1978677/1135831776/S600xU_2x","srcUrl":"https://www.biyosistem.com.tr/eosin-y-alkol-bazli/","srcHost":"biyosistem.com.tr"},{"image":"//avatars.mds.yandex.net/get-entity_search/1546299/928235184/SUx182","origWidth":480,"origHeight":257,"searchUrl":"https://yandex.com.tr/gorsel/search?rpt=simage&noreask=1&source=qa&text=Hematoksilen-Eozin+Boyas%C4%B1+Boyama+Tekni%C4%9Fi&img_url=https%3A//www.biyosistem.com.tr/wp-content/uploads/2019/01/Tiroid-3-1030x551.jpg&lr=983&json_dump=searchdata.numdocs&json_dump=searchdata.images&nomisspell=1&srcskip=IMAGESQUICK&json_dump=reqparam.tld&relev=new_family_filter_disable=1&nocache=da&no-tests=da&pron=sm_mind&pron=smm_1.0","alt":"biyosistem.com.tr sitesinden görsel","largeImage":"//avatars.mds.yandex.net/get-entity_search/1546299/928235184/S600xU_2x","srcUrl":"https://www.biyosistem.com.tr/eosin-y-alkol-bazli/","srcHost":"biyosistem.com.tr"},{"image":"//avatars.mds.yandex.net/get-entity_search/2295215/985892038/SUx182","origWidth":427,"origHeight":320,"searchUrl":"https://yandex.com.tr/gorsel/search?rpt=simage&noreask=1&source=qa&text=Hematoksilen-Eozin+Boyas%C4%B1+Boyama+Tekni%C4%9Fi&img_url=https%3A//image.slidesharecdn.com/i-histolojiyegiri-120418032517-phpapp01/95/histolojiye-giri-fazlas-iin-wwwtipfakultesiorg-30-728.jpg%3Fcb%3D1370868040&lr=983&json_dump=searchdata.numdocs&json_dump=searchdata.images&nomisspell=1&srcskip=IMAGESQUICK&json_dump=reqparam.tld&relev=new_family_filter_disable=1&nocache=da&no-tests=da&pron=sm_mind&pron=smm_1.0","alt":"dishcuss.com sitesinden görsel","largeImage":"//avatars.mds.yandex.net/get-entity_search/2295215/985892038/S600xU_2x","srcUrl":"https://dishcuss.com/post/6B19091C3762E99ED337B42BAD8E3DBF848E91E6/Boyama-Sayfalari","srcHost":"dishcuss.com"},{"image":"//avatars.mds.yandex.net/get-entity_search/371114/924990632/SUx182","origWidth":427,"origHeight":320,"searchUrl":"https://yandex.com.tr/gorsel/search?rpt=simage&noreask=1&source=qa&text=Hematoksilen-Eozin+Boyas%C4%B1+Boyama+Tekni%C4%9Fi&img_url=https%3A//image.slidesharecdn.com/i-histolojiyegiri-120418032517-phpapp01/95/histolojiye-giri-fazlas-iin-wwwtipfakultesiorg-31-728.jpg%3Fcb%3D1370868040&lr=983&json_dump=searchdata.numdocs&json_dump=searchdata.images&nomisspell=1&srcskip=IMAGESQUICK&json_dump=reqparam.tld&relev=new_family_filter_disable=1&nocache=da&no-tests=da&pron=sm_mind&pron=smm_1.0","alt":"mungfali.com sitesinden görsel","largeImage":"//avatars.mds.yandex.net/get-entity_search/371114/924990632/S600xU_2x","srcUrl":"https://mungfali.com/post/61F87410CE62274AE5F7976F457E8765F61CAF54/BBC8D90865F9A393ED318D4C6C6ACC97863B6BB9","srcHost":"mungfali.com"},{"image":"//avatars.mds.yandex.net/get-entity_search/1107819/955307608/SUx182","origWidth":396,"origHeight":320,"searchUrl":"https://yandex.com.tr/gorsel/search?rpt=simage&noreask=1&source=qa&text=Hematoksilen-Eozin+Boyas%C4%B1+Boyama+Tekni%C4%9Fi&img_url=https%3A//www.biyosistem.com.tr/wp-content/uploads/2019/01/Prostat-5-495x400.jpg&lr=983&json_dump=searchdata.numdocs&json_dump=searchdata.images&nomisspell=1&srcskip=IMAGESQUICK&json_dump=reqparam.tld&relev=new_family_filter_disable=1&nocache=da&no-tests=da&pron=sm_mind&pron=smm_1.0","alt":"biyosistem.com.tr sitesinden görsel","largeImage":"//avatars.mds.yandex.net/get-entity_search/1107819/955307608/S600xU_2x","srcUrl":"https://www.biyosistem.com.tr/eosin-y-alkol-bazli/","srcHost":"biyosistem.com.tr"}],"mainImage":{"image":"//avatars.mds.yandex.net/get-entity_search/5100341/947686564/SUx182_2x","origWidth":427,"origHeight":320,"searchUrl":"https://yandex.com.tr/gorsel/search?rpt=simage&noreask=1&source=qa&text=Hematoksilen-Eozin+Boyas%C4%B1+Boyama+Tekni%C4%9Fi&img_url=https%3A//slideplayer.biz.tr/slide/2986505/11/images/113/Boya%2BY%C3%B6ntemleri%2BAlkol%2Bfiksayonlu%2Bpreparatlarda.jpg&lr=983&json_dump=searchdata.numdocs&json_dump=searchdata.images&nomisspell=1&srcskip=IMAGESQUICK&json_dump=reqparam.tld&relev=new_family_filter_disable=1&nocache=da&no-tests=da&pron=sm_mind&pron=smm_1.0","alt":"slideplayer.biz.tr sitesinden görsel","largeImage":"//avatars.mds.yandex.net/get-entity_search/5100341/947686564/S600xU_2x","srcUrl":"https://slideplayer.biz.tr/slide/2986505/","srcHost":"slideplayer.biz.tr"},"imagesLink":"//yandex.com.tr/gorsel/search?text=Hematoksilen-Eozin%20Boyas%C4%B1&stype=image&lr=20815&parent-reqid=1763048161498760-15100224878396624649-balancer-l7leveler-kubr-yp-vla-147-BAL","name":"gallery","initialWidth":536,"height":226,"wrapInItem":false,"logParams":{"trailer":{},"poster":{}},"contextJsSrc":"//yandex.com.tr/ads/system/context.js","baobab":{"parentNode":{"context":{"genInfo":{"prefix":"8px7w03-0-4"},"ui":"desktop","service":"yawiki","fast":{"name":"entitysearch","subtype":"object"}}}}},"type":"entitysearch","subtype":"object"},"8px75":{"state":{"generalLinks":[{"id":"privacy-policy","text":"Gizlilik politikası","url":"https://yandex.com.tr/legal/privacy_policy/"},{"id":"terms-of-service","text":"Kullanıcı sözleşmesi","url":"https://yandex.com.tr/legal/tos/"},{"id":"report-error","text":"Hata bildir","url":"https://forms.yandex.com.tr/surveys/13748122.01a6645a1ef15703c9b82a7b6c521932ddc0e3f7/"},{"id":"about-company","text":"Şirket hakkında","url":"https://yandex.com.tr/project/portal/contacts/"}],"copyright":{"url":"https://yandex.com.tr","currentYear":2025},"socialLinks":[{"url":"https://www.tiktok.com/@yandex.turkiye","type":"tiktok","title":"TikTok"},{"url":"https://www.youtube.com/@YandexTurkiye","type":"youtube","title":"Youtube"},{"url":"https://www.facebook.com/YandexComTr","type":"facebook","title":"Facebook"},{"url":"https://www.instagram.com/yandex__turkiye/","type":"instagram","title":"Instagram"},{"url":"https://x.com/yndxturkiye","type":"x","title":"X"}],"categoriesLink":[],"baobab":{"parentNode":{"context":{"genInfo":{"prefix":"8px7w04-0-1"},"ui":"desktop","service":"yawiki","fast":{"name":"portal","subtype":"footer"}}}}},"type":"portal","subtype":"footer"}}